Logo Pic
搜索类型: 前后匹配前匹配学名全匹配中文名全匹配 帮助
筛选:        所有物种内容完整的物种
收录内容:

属:老伞属Gerronema

基本信息


此文章有旧版。查看旧版请点击此处



百山祖老伞G. baishanzuense

老伞属Gerronema是一类分布较广的中小型木生伞菌。该属物种大多是典型的“亚脐菇型(omphalinoid)真菌”,意思是它们的菌盖呈中部下凹的喇叭状或漏斗状,菌褶延生且一般比较稀疏,孢子印白色至浅黄色。也有一些老伞属真菌是例外,它们的菌盖中部不下凹。
该属物种的颜色一般为黄褐色调,也有灰色调和蓝色调的物种。
除了上述特征外,老伞属还有几个重要特征,如孢子光滑且非淀粉质,菌盖和/或菌柄的菌髓组织呈“sarcodimitic”型等。

属核心特征:子实体小型,偶尔中等大小,亚脐菇状或杯伞状,木生。菌盖一般漏斗形或中部具脐凹,少数外凸。菌柄发育良好,中生或略偏生。无菌幕。孢子光滑,非淀粉质,薄壁。菌盖皮层为表皮型(cutis),偶尔有盖生囊状体,盖表菌丝要么完全无色素,要么部分或全部有壁内或结痂色素。菌盖组织sarcodimitic状。




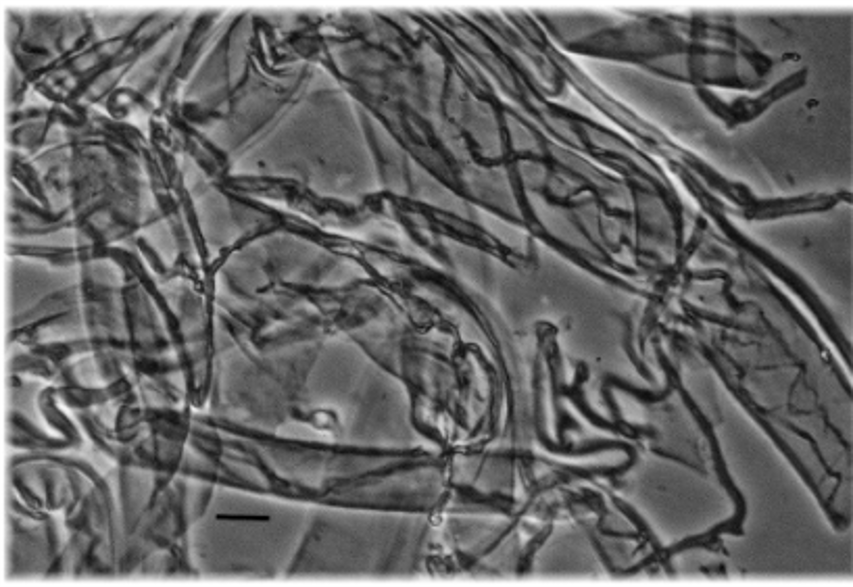
sarcodimitic型组织,细长黑色的为生殖菌丝,宽阔半透明的为骨架菌丝。引自Angel Bañares et al. 2006。


sarcodimitic型组织的横切图,引自Redhead 1987

“sarcodimitic”型菌髓组织

“sarcodimitic”型菌髓组织,是菌丝系统的一种,指的是组织中包含两种差异颇大的菌丝:一种纺锥状,相对较宽,不分支,是一种特殊的骨架菌丝;一种圆柱形,窄,常分支,这种较窄的菌丝是有生殖能力的。两种菌丝紧密地结合在一起。这种菌髓组织在老伞属的菌盖(和/或菌柄)中可见。
菌丝可以分为三类,即薄壁、可分支的生殖菌丝,厚壁、不分支、起支撑作用的骨架菌丝,和薄壁或厚壁、多分枝、起联结固定作用的联络菌丝。一些骨架菌丝会特化为纺锥状(中间粗,两边细)。这些菌丝的组合便构成了菌丝系统。纯生殖菌丝构成的为单系菌丝型monomitic,生殖菌丝+骨架或联络菌丝构成的为二系菌丝型dimitic,生殖+骨架+联络构成的为三系菌丝型trimitic,生殖菌丝+纺锤骨架菌丝构成的为sarcodimitic型,生殖+联络+纺锤骨架菌丝构成的为sarcotrimitic型。
下图为Hymenopellis furfuracea菌柄菌髓横切面,两种形态的菌丝清晰可见。在老伞属的菌肉,和大金钱菌的菌柄中,都可以看到这种类型的组织。



靛蓝老伞G. indogoticum。来源:Li-Na Liu et al. 2019


林地老伞G. nemorale,作者拍摄。


诸犍老伞G. zhujian。来源:Qin Na et al. 2022

老伞属的物种

除了少数几个物种,如白老伞G. albidum和靛蓝老伞G. indigoticum有特殊的颜色外,其他的老伞属物种基本都呈灰色、黄色、褐色调,配色都大差不差。
比较常见且广布的物种是林地老伞G. nemorale,它拥有淡黄色的菌褶和橄榄色、灰黄色至黄褐色的菌盖,且成熟后菌盖是光滑的。百山祖老伞G. baishanzuense和林地老伞比较相似,但它的黄色调少些,且目前已知的分布较狭窄,仅在安徽、浙江有分布。
小老伞G. microcarpum是一个体型很小的物种,菌盖不到1cm宽,菌柄不到2cm长,整体呈淡黄色,非常纤弱。
诸犍[zhū jiān]老伞G. zhujian的菌盖上有菌盖表皮撕裂形成的辐射状棕黑色条纹,其菌盖本身是黄色的。
黄色老伞G. chrysocarpum是早年(1995年)在我国发表的一个物种,它的特征是菌褶存在侧生囊状体。
G. confusum是2022年在我国发表的物种,它的体型相对其他物种非常大且粗壮,菌盖宽达6cm,菌柄长达7cm,粗达1.4cm,菌褶纯白色,其灰白色的菌盖上密布褐色纤维状鳞片,和典型的老伞形态有较大差异。

黄褐老伞G. strombodes是老伞属一个较著名的物种,它的体型较大,菌盖宽度可达8cm,早期的文献中多记载有这种老伞。但在近年的研究中,并没有发现这种老伞,说明此前的记载可能是其他物种(如林地老伞)的误定,这个物种在我国可能没有分布。
我国可能还有更多待发现的物种。


分类学争议

老伞属最早是由Singer (1951) 发表,用来容纳三个阿根廷物种的属。他将这三个种称为“叛逆的物种(rebellious species)”,因为它们是唯三Singer无法在他出版的书籍The Agaricales in Modern Taxonomy中放到合适位置的物种。Singer指出这些物种均是缺乏菌幕和菌索的木生菌;它们的菌丝厚壁并呈现一种凝胶粘稠质感;菌褶菌髓强烈不规则型;等等。不久之后他将一些亚脐菇属Omphalina的物种转移到了老伞属。
这一做法引起了争议,争议主要围绕着Singer与另一位学者Bigelow对亚脐菇属的定义。Singer几乎将Bigelow所定义的亚脐菇属物种全盘转移到老伞属下,而Bigelow所定义的杯伞属Clitocybe物种在Singer的系统下却又被置于了亚脐菇属。许多学者认为Singer定义的老伞属太过宽泛了。另外,还有学者认为老伞应该是亚脐菇属的一个亚属。
此前Singer和Bigelow的定义很大程度上依赖于显微镜下菌丝色素的特征,当菌物学家开始审视其他的特征后,老伞属的范围开始逐渐被缩小。1986年,Redhead将老伞属中不含有“sarcodimitic”型菌髓的种全都刨了出去。然后在1994年,Norvell等学者更进一步,将老伞属定义为木生、担孢子薄壁、拥有“sarcodimitic”型菌髓的一个类群。
20世纪末21世纪初,系统发育学开始发展起来。1997年,Lutzoni选取了几个亚脐菇型的物种(其中包含了2个符合Norvell定义的老伞属的物种)进行系统发育学研究,系统树表明按照以前的旧定义,老伞属是多系的,但那2个物种在系统树上聚为一支,似乎说明Norvell定义的老伞是单系群。然而随着更多符合定义的物种被发现并加入到系统发育学研究中,老伞最终还是被证明是一个多系群。
现在的研究表明,老伞属在系统树上和湿柄伞属Hydropus、沟褶菌属Trogia、小杯伞属Clitocybula、大金钱菌属Megacollybia和突孔菌属Porotheleum属聚成一枝(突孔菌属甚至是个平伏的多孔菌类群,不过这种形态学大杂烩的现象在真菌界也见怪不怪了),其中老伞属是个多系群,与沟褶菌属难舍难分。老伞所在的这一类真菌被称为湿柄菌类hydropoid clade,有学者将湿柄菌类处理为突孔菌科Porotheleaceae,但也有学者认为突孔菌科的定义应该更加狭窄,并将老伞属排除在外。并且,形态学上老伞属与脐盖菇属Chrysomphalina也经常纠缠不清。
关于分类学争议的总结 老伞属自被发表后,它与亚脐菇属之间的区别便一直存在争议。1994年,Norvell等学者将老伞属定义为木生、担孢子薄壁、拥有“sarcodimitic”型菌髓的类群,划清了它与亚脐菇的界限。在早期的系统学研究中,老伞属被认为是一个单系群,但随着研究的深入,证明老伞并不是单系群,而包含了多个演化枝。目前,这些演化支暂且是还没拆分,老伞属暂且被置于突孔菌科下,但也有学者认为突孔菌孔的定义应该更狭窄,将老伞排除在外。



描述

担子体伞菌型,亚脐菇状至杯伞状,小型至中等大小。菌盖漏斗形或中凹,偶尔凸镜形或中凸;颜色一般为黄褐色调或灰褐色调,少数白色、蓝色、褐色或其他色调;光滑或被细毛,菌盖表皮有时随着生长被撑开,开裂成放射状纤丝。菌褶较密至稀疏,延生,较宽,不具分叉,白色至浅黄色,少数淡蓝色,有时菌褶边缘异色。菌肉软或软骨质。菌柄发育良好,中生或略偏生,近圆柱形,基部常略膨大,基部菌丝体存在或不存在。无菌幕。
担孢子椭圆形、长椭圆形、圆柱形、柠檬形至倒梨形,薄壁,非淀粉质,光滑,透明,有油滴。担子一般4孢。侧生囊状体一般不存在,少数物种存在。褶缘囊状体存在或无,存在时近圆柱形、近纺锥形、棒状或烧瓶状。菌盖和(或)菌柄组织sarcodimitic型。菌盖和菌柄的菌髓菌丝常常凝胶化。锁状联合一般存在,有时不存在。
生境分布:腐生,木生,簇生或群生。常见于落叶层。广泛分布于世界大多数大洲的热带至温带地区。在我国热带和亚热带分布广泛。
模式物种:Gerronema melanomphax Singer 1951


Gerronema waikanaiensis凝胶状的菌柄菌髓。引自Cooper 2014



参考文献

  1. Updated taxonomy on Gerronema (Porotheleaceae, Agaricales) with three new taxa and one new record from China, 2022. Qin Na, Yaping Hu, Hui Zeng, Zhizhong Song, Hui Ding, Xianhao Cheng, Yupeng Ge. MycoKeys 89(1):87-120    https://doi.org/10.3897/mycokeys.89.79864
  2. Gerronema confusum (Porotheleaceae), a new species from North China, 2022. Tao-Yu Zhao & Li Fan. Phytotaxa 550(2): 186-194    https://doi.org/10.11646/phytotaxa.550.2.7
  3. Two new species of Gerronema (Agaricales, Basidiomycota) from Kerala State, India, 2018. K. P. Deepna Latha et al.. Phytotaxa 364(1):081–091    https://doi.org/10.11646/phytotaxa.364.1.5
  4. New species and combinations of some New Zealand agarics belonging to Clitopilus, Lyophyllum, Gerhardtia, Clitocybe, Hydnangium, Mycena, Rhodocollybia and Gerronema, 2014. J. A. Cooper. Mycosphere 5(2): 263–288    https://doi.org/10.5943/mycosphere/5/2/2
  5. The Xerulaceae (Basidiomycetes), a family with sarcodimitic tissues, 1987. S. A. Redhead. Canadian Journal of Botany 65(8): 1551–1562.    
  6. Gerronema nemorale: first report of the genus and species from Pakistan, 2021. Fauzia Aqdus, Abdul Nasir Khalid. Mycotaxon 136(1):249-259    https://doi.org/10.5248/136.249
  7. Conocybe romagnesii and Gerronema subclavatum (Basidiomycota: Agaricales) in the Central Black Sea Region of Turkey, 2021. Meryem Senay Sengul Demirak, Ibrahim Turkekul & Hakan Isik. Nordic Journal of Botany 39(12)    https://doi.org/10.1111/njb.03439
  8. 中国南方裸脚伞属分类暨小皮伞科真菌资源初步研究, 2016. 邓树方. 华南农业大学硕士学位论文    
  9. 蕈菌分类学, 2018. 图力古尔主编. 北京:科学出版社    
  10. Gerronema nemorale (Basidiomycota, Agaricomycetes): anatomic-morphological, cultivational, enzymatic and molecular characteristics and its first records in the Republic of Korea, 2008. Vladimír Antonín, Rhim Ryoo, Hyeon-Dong Shin. Czech Mycol. 60(2): 197–212, 2008    https://doi.org/10.33585/cmy.60204
  11. A new Gerronema species with striking colours from China, 2019. Li-Na Liu, Guang-Fu Mou & Tolgor Bau. Phytotaxa 405 (2): 074–082    https://doi.org/10.11646/phytotaxa.405.2.2
  12. The agaricoid members of the genus Porotheleum (Porotheleaceae, Agaricales), Porotheleum emend., Porotheleaceae s. stricto, and new genera for Agaricus floccipes and Mycena subalpina, 2021. G. Consiglio, A. Vizzini, J. Cooper, M. Marchetti, C. Angelini, E. Brugaletta & L. Setti. Revista di Mycologia 64(2): 99-152    
  13. Phylogeny of Lichen- and Non-Lichen-Forming Omphalinoid Mushrooms and the Utility of Testing for Combinability among Multiple Data Sets, 1997. F. M. Lutzoni. Systematic Biology 46(3): 373    https://doi.org/10.2307/2413688
  14. Gerronema wildpretii sp. nov. (Agaricales, Basidiomycetes) a new species from the Canary Islands, 2006. Angel Bañares, Esperanza Beltrán, Marcel Bon. Mycologia 98(3):455-9    https://doi.org/10.3852/mycologia.98.3.455



*数据库中的老伞属物种待补充。




老伞属Gerronema在我国有分布的物种 共计 1 个

黄色老伞Gerronema chrysocarpum

描述待补充





回到首页    搜索物种    目录

©菌物志Mycopedia,版权声明
如需引用本文可参考下列格式:
蔡佳铭. 2023. 老伞属Gerronema. 菌物志Mycopedia. http://www.mycopedia.top/taxa.php?details=Gerronema
J.M. Cai. 2023. Genus Gerronema [Chinese]. Mycopedia. http://www.mycopedia.top/taxa.php?details=Gerronema